Metastatik Omurga Tümörlerinde
Cerrahi Endikasyon
Cerrahiden Beklentiler ve Riskler
Dr. Cumhur KILINÇER Trakya Üniversitesi Tıp Fakültesi Nöroşirürji Anabilim Dalı
Omurga Metastazları
• En sık görülen kemik metastazıdır
– Kanser hastalarının % 5-10’unda semptomatik
omurga metastazı
• Ağrı yaratır (biolojik, radiküler, mekanik)
• Nörolojik kayıp yaratabilir
– Pleji ve sfinkter kusurları hayat kalitesini düşürür
– Sekonder sorunlar sağkalım süresini kısaltabilir

Karar.
Omurga Metastazlarında
Tedavinin Amaçları
• Ağrı kontrolü
• Nörolojik işlevlerin restorasyonu ya da korunması
• Spinal stabilitenin sağlanması
• Lokal tümör kontrolü
Palyasyon
• Altta yatan hastalığı ortadan kaldırmaksızın ağrı ya da diğer semptomları gidermek
• Bir metastatik kitlenin çıkartılması hemen hiçbir zaman kür sağlamayacağından, asıl hastalığı ortadan kaldırmadığından, metastaz tedavisi özünde palyatiftir
Spinal Metastazların Tedavisi
• Yaşam kalitesini artırmayı hedefler
• Direkt olarak sağkalım süresini uzatmaz
• Kür sağlamaz
• Yapılan tedavi hastanın geri kalan hayatını omurga açısından sorunsuz geçirmesini sağlamalıdır
Omurga Metastazlarında Tedavi
Seçenekleri
• Radyoterapi
• Kemoterapi
• Cerrahi
Cerrahideki İlerlemeler
• Gelişen cerrahi teknikler
• Enstrumantasyon
• Vertebroplasti
Cerrahinin Riskleri
• Kanserli hastalar sistemik komplikasyona yatkındır
• Agressif tedaviler risklidir
– Morbidite %20’ye kadar çıkmakta
– Uzamış yatış ve rehabilitasyon süresi
• Bazı tümör tipleri aşırı kanamaya meyillidir (tiroid, böbrek,…)
Tümörlerde Vertebroplasti
• Korpusa sınırlı ve nörolojik defisiti olmayan olgularda en uygun
• Epidural yayılım olabilir, ama sınırlı olmalı
• %75-85 olguda ağrı kontrolü sağlar
• Kifoplasti ve Vertebroplasti eşit
• Shimony et al Radiology 2004;232:846-853
• Fourney et al J Neurosurg (Spine 1) 2003; 98:21-30
• J Clin Neurosci 2011 Jun;18(6):763-7. Epub 2011 Apr 19.
• J Surg Oncol 2010 Jul 1;102(1):43-7.
• Radiology 2010;254(3):882-890
• AJNR 2007;28: 570-574
CERRAHİ-Tarihsel perspektif
• Önceleri enstrumansız dekompresyon uygulanmaktaydı
• Çalışmalar pür dekompresyonla RT arasında fark olmadığını gösterdi (1980-1990) ve RT standart tedavi oldu
• Enstrumantasyonun eklenmesi cerrahiyi tekrar ön plana çıkardı
• Günümüzde stereotaktik RT
cerrahiyi yine arka plana itmekte
Modern Yaklaşım
• Belirgin omurilik basısı ve non- ambulatuvar hasta, hızlı ilerleyen nörolojik defisit ─> CERRAHİ DEKOMPRESYON VE FÜZYON
• Ambulatuvar hasta ─> RADYOCERRAHİ
• Verebra cisminde ağrılı kitleler ─> VERTEBROPLASTİ
Tedavi Seçiminde Faktörler
• Nörolojik
• Onkolojik
• Mekanik
• Sistemik
NOMS Bilsky M, Smith M. Surgical approach to epidural spinal cord compression. Hematol Oncol Clin North Am. 2006;20(6):1307-1317.
Nörolojik Faktörler
• Omuriliğe basan epidural tümör infiltrasyonu
rölatif bir ameliyat endikasyonudur
– Adjuvan tedaviler (RT, KT) etkisizse cerrahi mutlak endikedir
– Adjuvan tedaviler etkiliyse bile, defisit yapmış ileri basılarda cerrahi endikedir (RT’nin ödem etkisi!)
Nörolojik Faktörler
• Belirgin bası olmaksızın nörolojik defisit olması mümkündür
– Paraneoplastik sendromlar
– İskemik omurilik hasarı
• Cerrahiden yarar görmezler
Nörolojik Faktörler
Spine Oncology Study Group Sınıflaması*
• Grade 0 Kemik içi, epidural alan temiz
• Grade 1 Epidural yayılım var, kord basısı yok (3 alt grup)
• Grade 2 Kord basılı, ancak etrafında CSF mevcut
• Grade 3 Etrafında CSF olmaksızın kord basısı
• Grade 2 ve 3 tümörler nörolojik defisit yaratmaya meyillidir ve (radyosensitif tümörler hariç) cerrahi dekompresyon gerektirirler
* Fisher CG, DiPaola CP, Ryken TC, Bilsky MH, Shaffrey CI, Berven SH, Harrop JS, Fehlings MG, Boriani S, Chou D, Schmidt MH, Polly DW, Biagini R, Burch S, Dekutoski MB, Ganju A, Gerszten PC, Gokaslan ZL, Groff MW, Liebsch NJ, Mendel E, Okuno SH, Patel S, Rhines LD, Rose PS, Sciubba DM, Sundaresan N, Tomita K, Varga PP, Vialle LR, Vrionis FD, Yamada Y, Fourney DR.
A novel classification system for spinal instability in neoplastic disease: an evidence-based approach and expert consensus from the Spine Oncology Study
Group. Spine . 2010 Oct 15;35(22):E1221-9.
Mekanik Faktörler
• Radyoterapi tümörü küçültmekte başarılı bile olsa, instabil bir omurgayı stabil
hale getiremez
• İnstabilite kesin cerrahi endikasyondur
Mekanik Faktörler
• Spine Oncology Study Group spinal instabilite tanımlaması

Instabil?

Mekanik Faktörler
• İnstabiliteye 6 bileşenle
karar verilir
– Lokalizasyon
– Ağrının özelliği
– Omurga dizilimi
– Lezyonun radyolojik görüntüsü
– Vertebra korpusunun infiltrasyon derecesi
– Posterior elemanların tutulumu
Mekanik Faktörler
• Bileşke bölgeleri (okspitoservikal, servikotorasik, torakolomber, lumbosakral) ve mobil segmentler (C3-C6 ve L2-L4) instabiliteye daha açıktır
• Hareketle artan, yatmakla azalan aksiyal ağrı
semptomatik instabiliteyi gösterir
• Radyolojik kriterler
– Subluksasyon veya translasyon
– Vertebra gövdesinde %50 çökme
– Litik görünüm
– İkiyanlı faset veya pedikül tutulumu
Sistemik Faktörler
• Tümörün sistemik yayılımı ve genel durum
• Medikal komorbiditeler değerlendirilir
• Hastanın genel anesteziyi kaldıracak durumda olması ve postop erken ekstübasyon ve mobilizasyonunu engelleyecek bir durumu olmaması beklenir
• Cerrahi için, yaşam beklentisi
3 aydan fazla olmalıdır
TOKUHASHI SKORU
• 15 puanlık skorlama
• Alınan puan beklenen sağkalım süresi ile uyumlu
– Hastanın genel durumu ve performansı
– Ekstraspinal metastazların sayısı
– Omurga metastazlarının sayısı
– Viseral metastazların yayılımı
– Tümör histolojisi
– Nörolojik defisit
• ALGORİTMA
– İyi tümör histolojisi, iyi fonksiyonel ve nörolojik skor, sınırlı metastatik yayılım, 1 yıldan uzun yaşam beklentisi: Geniş eksizyonel cerrahiler
– 6 ay-1 yıl arası yaşam beklentisi: Palyatif cerrahi
– 6 aydan az yaşam beklentisi: Konservatif tedavi
• Tokuhashi Y, Matsuzaki H, Oda H, et al. A revised scoring system for preoperative evaluation of metastatic spine tumor prognosis. Spine. 2005;30(19):2186-2191.

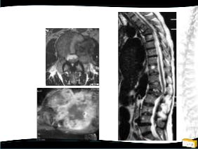
OLGU
• 60y, E
• Bel ağrısı
• Kilo kaybı

L2 sol transpediküler biopsi: AdenoCa met

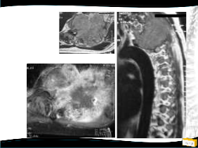
OLGU
• 52y, E
• Akciğer Ca
• Sırt ağrısı
• Paraparezi



Yap1lan Ameliyat: T4 laminektomiyle dekompresyon +
T3-T6 posterior transpediküler stabilizasyon
Sağkallm 9 ay, ağr1 ve pleji gelişmedi

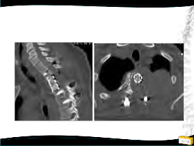
OLGU
• 55y, E
• Akciğer Ca
• T10 metastaz
• Sırt ağrısı
• Min. paraparezi



2 yıl takip ediIdi, sorun olmadı

OLGU
• Meme Ca
• Yaygın kemik met
• T4-T5 ve T12-L1 metastatik çökme


OLGU
• 63y, K
• T11 kitle, Kalça fleks. 2-3/5
• Tiroid biopsisi: Ca


Takip: Tiroidektomi yapıldı, radyoaktif iyot da aldı.
4 yıllık takipte sorunsuz

OLGU
• 40y, K
• Meme Ca
• Enstrumante edilmiş
• 3/5 paraparetik geldi


• RT aldı, 18 aylık takipte sorunsuz

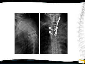
OLGU
• 57, E
• Akc Ca
• Beklenen sürvi < 6 ay

T2-3 laminektomi+
dekompr+Kafes+ Tl-T4-T5 tps


9 ay sonra

Erken Geç

Posterior dekompresyon ve tm rezeksiyonu, gevşemiş T1 vidalarinin çıkartılarak solda C7 pedikül + C6 lat. mass vidası ile revizyonu

• 4 ay süresince tm
nekrozu akıntısı, fistül, cilt sorunlarını takiben exitus
• Pleji ve sfinkter kusuru
olmadı
SON SÖZ
• Metastatik Omurga Tümörlerinde karar multifaktöryeldir ve Nörolojik, Onkolojik, Mekanik ve Sistemik durum değerlendirilerek hasta bazında verilir
• Yapılan tedavi gereksiz riskler oluşturmamalı, hastanın geri kalan hayatını omurga açısından sorunsuz geçirmesini sağlayacak en küçük girişim seçilmelidir

... teşekkür ederim.
Soru / Yorum ?