|
|
Eski lomber
stabilizasyon sistemi altında kırık
(Temmuz 2023 Olgusu)
60 yaşındaki kadın hasta bel ve bacak ağrısı
şikayetleriyle tekerlekli sandalyede getirildi. Ağrısının
bir ay önceki bir düşmeyi takiben şiddetlendiği ve kullandığı ilaçlara
rağmen azalmadığı öğrenildi.
Hastanın
2015 yılında yine bir düşmeyi takiben belinde kırık saptanarak
stabilizasyon ameliyatı yapıldığı ve son bir yılda ara sıra artan bel
ağrıları bulunduğu ve ayrıca çocuklukta geçirilmiş bir hastalık
sonrasında sekel sol spastik hemiparezisinin bulunduğu öğrenildi.
Yapılmış
olan MRG incelemesinde L4 vertebrasında yeni kırık görülüyordu.
Yaptırılan direkt grafi ve BT incelemelerinde ise daha önce yapılmış
olan T11-L3 stabilizasyon sisteminin alt uçta gevşeyerek disfonksiyone
olduğu saptandı.

MRG
incelemelerinde L4 vertebrasında akut/subakut dönemde patlama kırığı ve
bu seviyede belirgin kanal daralması izlenmekte.
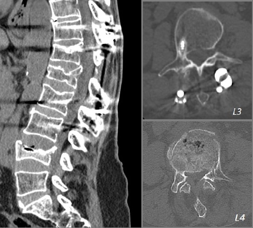
Direkt
grafilerde L4 vertebrasındaki kırık yanında, eski bir L1 kırığı
nedeniyle yerleştirilmiş olan T11-L3 transpediküler vida sisteminin
disfonksiyone olduğu görülüyor. L3 vidasında sağ tarafta muhtemelen
gevşemeye bağlı vida çıkması, solda ise vida başının roddan kurtulduğu
görülüyor.
Bilgisayarlı
tomografide L3 seviyesinde sağda vida gevşemesi (vida etrafında
sklerotik halo), L4 vertebrasında ön ve orta kolonda yükselik kaybı,
korpusa ve sol pediküle uzanan kırık hatları ve ayrıca bu
seviyede
solda belirgin olarak faset eklemlerde ayrışma görülmekte.
Sisteme ait diğer vidalar gevşememiştir. L2-3 seviyesinde kısmi,
yukarıdaki seviyelerde tam faset füzyonu vardır.
Lumbostat
korse ile mobilize olabilen hastanın genel durumu iyi, nörolojik
muayenesinde eski sekel sol hemiparezi dışında özellik yoktu.
Şiddetli
bel (9/10) ve sol bacak (7/10) ağrısı vardı.
Mevcut durumu grafileri ve muayene bulgularıyla değerlendirilen hastaya
ağrıya yönelik olarak vertebroplasti ve epidural enjeksiyon
uygulanmasına karar verildi.
Uygulanan
tedavi
Hastaya
lokal anestezi ve sedasyon altında sol unipediküler yolla
vertebroplasti yapıldı (6 ml metilmetakrilat). Ayrıca faset medial dal
blokları ve sol L3-4 ve L4-5 transforaminal epidural enjeksiyon da
uygulandı.
L4 vertebroplasti sonrası direkt grafiler.
Hasta
işlemden sonra bel ve bacak ağrısında belirgin bir azalma (3-4/10)
tarif etti. Kısa dönem takipte mobilizedir ve bir sorunu
yoktur.
SONUÇ
ve YORUM
Önceden
yapılmış enstruman komşuluğundaki seviyelerde özellikle travmalardan
sonra kırık görülmesi nadir değildir. Çünkü enstruman sstemi içindeki
seviyeler nisbeten korunurken sisteme komşu vertebralar (üstte ve
altta) stresin yoğunlaştığı seviyelerdir. Tedaviyi planlarken bu stres
yoğunlaşmasını ve omurganın genel durumunu da hesaba katmak gereklidir.
Bu
hastada enstruman sistemindeki yetmezlik olgunun yönetiminde kafa
karıştırıcı bir faktör durumundadır. Bu disfonksiyonun semptomlardan
kısmen de olsa sorumlu olabileceği, L4 kırığınını tedavi ederken
enstruman sistemini de revize etmenin uygun olacağı, dolayısıyla L4
seviyesini de içine alan yeni bir sistem kurmanın mantıklı
olabileceğini ilham ettirmektedir.
Bununla birlikte, hastanın bir ay
önceki düşme ve L4 seviyesindeki kırık olmadan önceki dönemi nisbeten
sorunsuzdur. Dolayısıyla sistemin alt ucundaki gevşemenin asemptomatik
olduğu ve tedavi gerektirmediği düşünülerek sadece L4 kırığı ve buna
bağlı kanal daralmasının tedavi edilmesine karar verilmiştir. Bu
kararda
yapılan BT incelemesinde gevşeme olan L2-3 seviyesinde fasetlerin kısmi
füzyonlu ve stabil oluşu ve L2-3 diski içinde gaz görülmeyişi etkili
olmuştur. Aynı şekilde, L3-4 diski de oldukça iyi korunmuştur. Bu
faktörler, L4 vertebrasını stabilize etmenin yeterli olacağını
düşündürtmüş ve vertebroplastiye karar verilmiştir.
Hastadaki ikinci zorluk L4 seviyesindeki kırığın kanalı daraltması ve
hastada bel ağrısı yanında sol bacak ağrısı oluşudur.
Eğer
bu darlık nörolojik bir defisit yaratsaydı kanalın dekompresyonu
amacıyla bir ameliyat gerekli olacaktı. Ancak sadece ağrı bulunuşu
nedeniyle sorunun, kanalın akut daralması nedeniyle geçici bir kök
travması ve bunu izleyen ödemden ibaret olabileceği ve eğer radiküler
ağrı kontrolü sağlanır ve vertebroplastiyle de vertebra stabil hale
getirilirse uzun dönemde kanal daralmasına ait semptom
kalmayabileceğini düşündürtmüştür. Bu nedenle vertebroplasti sırasında
transforaminal epidural enjeksiyon da uygulanmıştır.
Bacak ağrısının
belirgin şekilde azalması ve geri dönmemesi bu teorinin doğru olduğu
lehinedir. Tabi ki, bu düşünce yanlış çıkabilir ve hastadaki bacak
ağrısı sebat edebilirdi. Bu durumda ikinci basamak olarak planlanan,
minimal invazif bir dekompresyonla bası altındaki kökün dekomprese
edilmesiydi.
Uygulanan tedavinin alternatifi disfonksiyone
enstruman sisteminin alt ucunun revizyonu ile birlikte enstruman
sistemini bir alt seviyeye (L5) uzatıp aynı seansta laminektomiyle
kanal dekompresyonunu sağlamaktır. Genel anestezi gerektirecek böyle
bir ameliyatın kendisine ait sorunlar ve gelecekte riskler
getirebileceği aşikardır.
Yapılan tedavi, sıklıkla uyguladığımız
basamaklı minimal invazif girişim felsefesine bir örnektir. Bu
felsefenin temel taşları, klinik soruna yol açan asıl sorunu saptayarak
mümkün olan en küçük ve en az riskli girişimle (mümkünse de hiç bir
girişim yapmadan) klinik tabloyu düzeltmek, eğer uygulanan girişim
yeterli gelmezse bir sonraki en az invazif girişimi ekleyerek hastayı
takip etmek ve en invazif ve riskli girişimleri daima en sona saklamak
şeklindedir.
|
|