Olgular


Olgu-2023-08-thumbnail
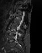
Ağustos 2023       Eski lomber stabilizasyon sistemi altında kırık (ikinci olgu)
eski-lomber-stabilizasyon-sistemi-altinda-kirik-thumbnail
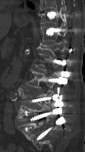
Temmuz 2023Eski lomber stabilizasyon sistemi altında kırık


Transforaminal epidural enjeksiyon Kasım 2022             Lomber disk hernisine bağlı bel ve bacak ağrısında transforaminal epidural enjeksiyon


Lomber dinamik stabilizasyon
Ağustos         2022     Lomber enstruman yetmezliği ve dinamik stabilizasyonla çözümü   


multipl-torakolober-kirik-thumbnail
Ocak 2020    Multipl torakolomber kırık                  



Os odontoideum thumbnail Eylül 2011 Os odontoideum
Klippel-Feil Ağustos 2011 Klippel-Feil Sendromunda Myelopati
Diskojenik Bel Ağrısı

Temmuz 2011


Diskojenik bel ağrısı
Degenerate lumbar scoliosis
Haziran 2011

Dejeneratif lomber skolyoz





Bookmark and Share
 

 

 


cumhurkilincer.com'u  izle ve paylaş!  Bookmark and Share


Anasayfa | Özgeçmiş | Yayınlar Haberler | Bağlantılar | Nöroşirürji | Spinal Cerrahi | Hidrosefali
Olgular
English


© Copyright 2008+ cumhurkilincer.com. Yasal bildirimler.