|
|
Lomber disk
hernisine bağlı bel ve bacak ağrısında transforaminal epidural
enjeksiyon (Kasım 2022 Olgusu)
45 yaşındaki erkek hasta bel ortası, kalça ve kasıklarına vuran ağrıyla
başvurdu. Eskiden beri bulunan ağrılarının son altı aydır arttığını
ifade etmekteydi. Hastanın
nörolojik muayenesinde kas gücü kaybı yoktu. Refleksleri normaldi.
Sağda S1 dermatomunda hipoestezi saptandı. Lokal olarak sakrum üst
kısmında ve sağda Valleix noktalarında (kalça, uyluk ve baldır arka
yüzünde orta noktaları) basmakla hassasiyet bulundu. Yapılmış olan lomber MRG incelemesi aşağıdadır.
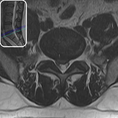
Lomber MRG
incelemesinde L5-S1 seviyesinde santral bir bulging görülmektedir. Sağ
S1 köküne dokunacak şekilde anulus fibrozusta küçük bir açıklık
ve ufak bir ekstrüde fragman varlığından şüphe edilebilse bile, kesin
söylenemez. Aynı seviyede disk içi hipointens ve komşu L5 vertebrası
alt endplate'i ön kısmında dejeneratif sinyal değişikliği görülmektedir
(dejeneratif disk hastalığı). Lomber lordoz korunmuştur. Diğer
disk seviyeleri, faset eklemler ve paravertebral kaslarda belirgin bir
sorun saptanmamıştır.
L5-S1 seviyesindeki dejerasyonun yoğunluğu, belirgin bulging, S1
kökü bası ya da irritasyonunu düşündüren bulgular (S1 dermatomu
hipoestezisi ve Vallleix noktalarındaki hassasiyet) ve lokal ağrı
nedeniyle hastanın yakınmaları bu seviyeye atfedildi. Hastanın
yakınmaları arasında bulunan kasık ağrısı L3-S1 arası lomber sorunlarda
tipik olarak görülen bir bulgu değildir. Kalça eklemi ve sakroiliak
eklem sorunlarından da şüphe etmek gerekir. Ancak hastanın muayenesi bu
açılardan normal bulunmuştur. Klinik tecrübemiz, L5-S1 disk
patolojilerinde kasık ağrısının olabileceğini söylediğinden, bu yönde
ek bir tetkik planlanmadı ve L5-S1 diskopatiye yönelik tedavi
planlandı.
Tedavi
Uzun süredir bulunan ve 6 aydır devam eden ağrılar
nedeniyle ilaç tedavisi ya da fizik ajanlarla devam etmek yerine
girişimsel bir tedavi düşünüldü. Büyük bir disk hernisi bulunmadığından
ve S1 dermatom hipoestezisi dışında nörolojik bir bulgu da olmadığından
bu aşamada diskektomi endikasyonu konulmadı. Hasta tedavi olasılıkları
konusunda bilgilendirildi ve ortak olarak epidural enjeksiyon kararı
alındı. Hastaya sağdan transforaminal epidural enjeksiyon uygulandı.
Aşağıda işlem sırasında alınan röntgen görüntüleri ve yapılan işlemin
ayrıntıları bulunmaktadır.
 Sağ L5-S1 forameni ve S1 foramenleri yoluyla epidural enjeksiyon uygulanması. Enjeksiyon ameliyathanede, hasta yüzüstü
pozisyonda karın altı desteklenerek, skopi altında ve kontrast madde kontrolü
ile (300 mg/ml Ultravist), 20G kalınlığında ve 9 cm uzunlugunda spinal
iğneler kullanılarak steril teknikle uygulandı. Toplam 20-30 ml hacminde olmak
üzere %1 adrenalinsiz Lidokain + serum fizyolojik + ½ ampul depo steroid verildi. L5-S1
seviyesinde infranöral teknik kullanılmıştır. Sağdaki resimde her iki
foramenden de epidural alana uygun kontrast geçişi görülmekte. Daha iyi
ağrı kontrolü amacıyla aynı seansta sağda L2-S1 medial dal blokları da
yapıldı.
Sonuç
İşlem sırasında veya sonrasında bir komplikasyon izlenmedi. Hasta
işlemden bir saat sonra yürütüldü ve sorunsuz olarak taburcu edildi. Üç
hafta sonra yapılan kontrol muayenedinde hasta ağrılarının %80
oranında azaldığını, işlem sonrasındaki ilk haftadan sonra ağrı kesici
kullanmadığını, mevcut ağrısının uykusunu ve gün içinde günlük
aktivitelerini aksatmadığı ifade ediyordu. Bu aşamada başka bir
tedavi düşünülmedi ve hasta şikayetlerinin artması halinde tekrar
başvurması önerisiyle takibe alındı. Kilo almaması ve karın ve bel
kaslarını kuvvetlendirmeye yönelik egzersizler yapması önerildi. Üç
aylık takipte sorun yoktur.
Yorum Bu
hastamızda tek lomber mesafeye sınırlı bir dejeneratif disk hastalığı
ve anulus fibrozusun henüz tam yırtılmadığı aşamadaki (bulging) bir
disk hernisi ile karşılaşılmıştır. Yapılan epidural enjeksiyon ile
yeterli bir ağrı kontrolü sağlanmıştır. Belirgin bir nörolojik kayıp
olmaması nedeniyle cerrahi girişim olasılığı bu aşamada arka plana
itilmiştir. Gerçekten de, çoğu hastada epidural enjeksiyon enjeksiyon
yüz güldürücü sonuçlar vermektedir. Ancak yapılan enjeksiyonun bir ağrı
tedavisinden ibaret olduğu, mevcut dejenere diskin tamir
edilemeyeceği ve anatomik bozulmanın ilerlemesiyle gelecekte de aynı
seviyeden sorun yaşanabileceği unutulmamalıdır.
|
|