Eski Lomber Stabilizasyon Sistemi Altında Kırık - İkinci Olgu

← Örnek Hastalar sayfasına dön

Tarih: Ağustos 2023

73 yaşındaki kadın hasta bel ve sağ bacak ağrısı şikayetleriyle getirildi. Demans bulguları olan hasta, birkaç aydır bulunan ağrılarının 10 gün önce aniden arttığını tarif ediyordu. Hastaya 2018 yılında L1 kırığı tanısıyla lomber stabilizasyon yapıldığı öğrenildi. Nörolojik muayenesi demans bulguları dışında normal bulundu.

Hastanın bir ay önce çekilmiş direkt grafileri vardı. Yapılan BT ve MRG incelemesinde L4 vertebrasında yeni kırık, bu seviyede kanal daralması ve eski T11-L3 sementli traspediküler vida sistemi görülüyordu.

Eski sementli T11-L3 vida sistemi

Resim 1: Hastanın bir ay önce yapılmış olan direkt grafilerinde eski sementli T11-L3 transpediküler vida sistemi görülmekte. L4 korpusu üst endplate'inde kırıkla uyumlu düzensizlik görülüyor.

L4 vertebra kırığı BT

Resim 2: Bilgisayarlı tomografide L4 vertebrasındaki yükseklik kaybının bir ay önceki direkt grafiye kıyasla belirgin arttığı, bu seviyede kanalı daralatan bir kemik fragman bulunduğu, eski L1 kırığı nedeniyle konulan sementli vidanın en alt vidalarında (L3) hafif gevşeme bulguları olmakla beraber sistemin işlevsel olduğu görülüyor.

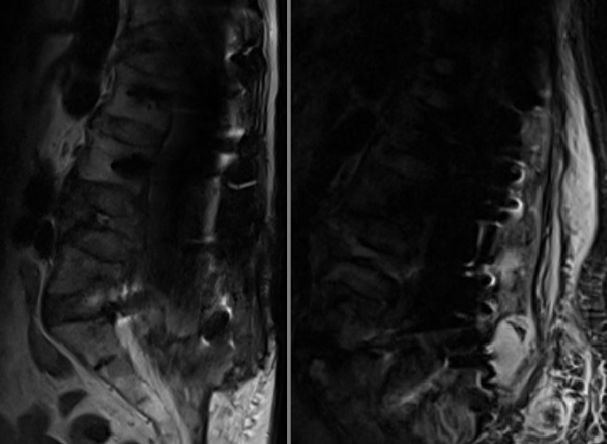
L4 vertebra kırığı MRG

Resim 3: MRG incelemesinde L4 vertebrasında akut/subakut kırıkla uyumlu görüntü izleniyor.

Hastanın bir yıl önce yapılmış DEXA scan'inda lomber T skoru -3.2 bulunmuştu (osteoporoz). Mevcut durumu grafileri ve muayene bulgularıyla değerlendirilen hastaya ilerleyen L4 kırığına yönelik olarak lokal anestezi ve sedasyon altında vertebroplasti, ağrıya yönelik olarak da epidural enjeksiyon uygulanması önerildi. Bacak ağrısının bu işlem sonrasında geçmemesi durumunda kanal darlığına yönelik olarak bir lomber dekompresyon ameliyatı gerekebileceği ifade edildi.

Bu görüşmeden sonra iki ay sonra hasta tekerlekli sandaleyede tekrar getirildi. Öyküsünden, önceki muayenemizden sonra hastanın bir başka cerraha başvurduğu, kendisine stabilizasyon ameliyatı yapıldığı, ancak bu ameliyattan sonra ağrılarının artarak devam ettiği öğrenildi.

Zorunlu bir postürde eğilerek oturan hastanın ufak hareketlerle artan şiddetli bacak ağrıları olmakta ve ayağa kalkamamaktaydı. Ağrı ve demans nedeniyle muayenesi tam yapılamamakla beraber her iki ayak dorsal fleksiyonunda kas gücü kaybı saptandı.

Tekrar yaptırılan radyolojik incelemeleri aşağıdadır.

Direkt grafi

Resim 4: Direkt grafide L4 vertebrasına bir, L5 ve S1 seviyelerine ikişer vida konularak bu sistemin eski rod sistemine dominolarla bağlandığı görülüyor. L5 vidaları inferiordan gitmektedir (malpozisyon). S1 vidalarında biri lateral grafide görülememektedir. L5 ve S1 korpuslarında sement mevcuttur.

BT Görüntüsü

Resim 5: BT'de her iki L5 vidasının inferiordan ve sağdakinin ayrıca medialden gittiği, iki yanda L5-S1 nöral foramene ve sağda kanala girdiği, S1 vidalarının gevşeyerek S1-S2 korpuslarında derin kaviteler açtığı ve sağda S1 vidasının rod üzerinde tamamen dönerek karşıya uzandığı görülmekte. L4 korpusu yüksekliğini tamamen kaybetmiştir.

Metal artefaktlı MRG

Resim 6: Yoğun metal artefaktı MR değerlendirmesini olanaksız kılmaktadır. Sakral bölgede yaygın sıvı görüntüsü vardır (hematom? BOS?).

Mevcut durum konusunda hastaya ve yakınına bilgi verildi. Önceden bulunan sorunlar olan L4 vertebra yüksekliği kaybı ve kanal daralması sorununun devam ettiği, ayrıca fasetleri vida malpozisyonu nedeniyle hasar gören L5-S1 seviyesinde de instabilite sorununun eklendiği, vida malpozisyonlarının köklere ve muhtemelen dural keseye bası yaptığı anlatıldı.

L4, L5, S1 ve S2 seviyelerinde transpediküler vida stabilizasyonuna uygun bir yer bulunmaması nedeniyle bir stabilizasyon girişiminin yararsız olacağı, şu an için makul tek çözümün eklenen tüm vidaların çıkartılıp gerekli yerlere nöral dekompresyon yapılmasını takiben iliak otogreftlerle fasetler ve transvers çıkıntılar üzerinden posterior in-situ füzyon ve 3 ay süreyle alçı yatakta kesin istirahat olacağı düşünüldü. 3-6 ay sonra bölgedeki kemik iyileşmeyi takiben, eğer gerekiyorsa yeni bir stabilizasyon ameliyatının planlanabileceği ifade edildi.

Hasta yakınları bu görüşmeden sonra henüz tedavi için başvurmamıştır.

SONUÇ ve YORUM

Bu olgu bir ay önceki olgumuzla oldukça benzerdir. Temmuz olgumuzda L4 kırığını vertebroplasti ile güçlendirmiş ve bacak ağrısı için epidural enjeksiyon uygulamıştık. Bu hastada, tedavi eden cerrah kırık vertebrayı vertebroplastiyle güçlendirmek yerine sağlam seviyelere inerek enstrumantasyonla stabilizasyonu sağlamayı hedeflemiştir. Aynı seansta laminektomi ile kanal dekompresyonu sağlamak da mümkün olduğundan bu yaklaşımın da avantajlı yönleri bulunabilir. Ancak bu yaklaşım, aktüel kemik mineral yoğunluğu elimizde bulunmasa da osteoporozu olan bir hasta için oldukça risklidir. Sakruma inilmesi ise doğru olmamıştır. Kemik mineral dansitesi normal hastalarda bile sorunlu olan sakrum stabilizasyonunun bu hastada başarısızlığa uğrayacağı kolaylıkla tahmin edilebilir. Sonuçta tüm sistem gevşemiş ve malpozisyone vidalar radiküler ağrılar yaratmıştır.

Bu hastada stabilizasyon, ideal konmuş sementli L5 vidaları ve ayrıca L4 korpusu içi sementle güçlendirilerek daha kısa bir konstrukla ya da iliak kemiklere inen daha uzun bir sistemle belki sağlanabilirdi. Bu şekilde ideal olarak yapılsa bile hala implant gevşeme riski yüksektir. Kanaatimizce bu tür olgularda ağrıyı kontrol etmeye ve çöken vertebrayı stabilize etmeyi hedefleyen minimal invazif girişimler ön planda tutulmalı, stabilizasyon ameliyatları hiç bir tedavinin işe yaramadığı en son noktaya saklanmalıdır.