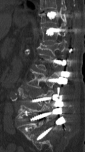
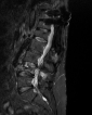
Eski Lomber Stabilizasyon Sistemi Altında Kırık (2)
Ağustos 2023
Detaylar →Ağustos 2023
Detaylar →Temmuz 2023
Detaylar →Kasım 2022
Detaylar →
Ağustos 2022
Detaylar →Ocak 2020
Detaylar →Eylül 2011
Detaylar →Ağustos 2011
Detaylar →Temmuz 2011
Detaylar →Haziran 2011
Detaylar →