Eski Lomber Stabilizasyon Sistemi Altında Kırık

← Örnek Hastalar sayfasına dön

Tarih: Temmuz 2023

60 yaşındaki kadın hasta bel ve bacak ağrısı şikayetleriyle tekerlekli sandalyede getirildi. Ağrısının bir ay önceki bir düşmeyi takiben şiddetlendiği ve kullandığı ilaçlara rağmen azalmadığı öğrenildi.

Hastanın 2015 yılında yine bir düşmeyi takiben belinde kırık saptanarak stabilizasyon ameliyatı yapıldığı ve son bir yılda ara sıra artan bel ağrıları bulunduğu ve ayrıca çocuklukta geçirilmiş bir hastalık sonrasında sekel sol spastik hemiparezisinin bulunduğu öğrenildi.

Yapılmış olan MRG incelemesinde L4 vertebrasında yeni kırık görülüyordu. Yaptırılan direkt grafi ve BT incelemelerinde ise daha önce yapılmış olan T11-L3 stabilizasyon sisteminin alt uçta gevşeyerek disfonksiyone olduğu saptandı.

L4 vertebrasında akut kırık ve kanal daralması MRG görüntüsü

Resim 1: MRG incelemelerinde L4 vertebrasında akut/subakut dönemde patlama kırığı ve bu seviyede belirgin kanal daralması izlenmekte.

Direkt grafi AP görüntüsü - İmplant yetmezliği Direkt grafi lateral görüntüsü - L4 kırığı

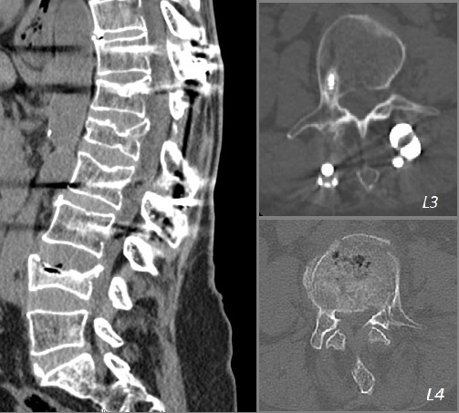
Resim 2: Direkt grafilerde L4 vertebrasındaki kırık yanında, eski bir L1 kırığı nedeniyle yerleştirilmiş olan T11-L3 transpediküler vida sisteminin disfonksiyone olduğu görülüyor. L3 vidasında sağ tarafta muhtemelen gevşemeye bağlı vida çıkması, solda ise vida başının roddan kurtulduğu görülüyor.

Bilgisayarlı tomografi kesitleri - Vida gevşemesi ve faset ayrışması

Resim 3: Bilgisayarlı tomografide L3 seviyesinde sağda vida gevşemesi (vida etrafında sklerotik halo), L4 vertebrasında ön ve orta kolonda yükselik kaybı, korpusa ve sol pediküle uzanan kırık hatları ve ayrıca bu seviyede solda belirgin olarak faset eklemlerde ayrışma görülmekte. Sisteme ait diğer vidalar gevşememiştir. L2-3 seviyesinde kısmi, yukarıdaki seviyelerde tam faset füzyonu vardır.

Lumbostat korse ile mobilize olabilen hastanın genel durumu iyi, nörolojik muayenesinde eski sekel sol hemiparezi dışında özellik yoktu. Şiddetli bel (9/10) ve sol bacak (7/10) ağrısı vardı.

Mevcut durumu grafileri ve muayene bulgularıyla değerlendirilen hastaya ağrıya yönelik olarak vertebroplasti ve epidural enjeksiyon uygulanmasına karar verildi.

Uygulanan Tedavi

Hastaya lokal anestezi ve sedasyon altında sol unipediküler yolla vertebroplasti yapıldı (6 ml metilmetakrilat). Ayrıca faset medial dal blokları ve sol L3-4 ve L4-5 transforaminal epidural enjeksiyon da uygulandı.

L4 vertebroplasti sonrası kontrol grafileri

Resim 4: L4 vertebroplasti sonrası direkt grafiler.

Hasta işlemden sonra bel ve bacak ağrısında belirgin bir azalma (3-4/10) tarif etti. Kısa dönem takipte mobilizedir ve bir sorunu yoktur.

SONUÇ ve YORUM

Önceden yapılmış enstruman komşuluğundaki seviyelerde özellikle travmalardan sonra kırık görülmesi nadir değildir. Çünkü enstruman sstemi içindeki seviyeler nisbeten korunurken sisteme komşu vertebralar (üstte ve altta) stresin yoğunlaştığı seviyelerdir. Tedaviyi planlarken bu stres yoğunlaşmasını ve omurganın genel durumunu da hesaba katmak gereklidir.

Bu hastada enstruman sistemindeki yetmezlik olgunun yönetiminde kafa karıştırıcı bir faktör durumundadır. Bu disfonksiyonun semptomlardan kısmen de olsa sorumlu olabileceği, L4 kırığınını tedavi ederken enstruman sistemini de revize etmenin uygun olacağı, dolayısıyla L4 seviyesini de içine alan yeni bir sistem kurmanın mantıklı olabileceğini ilham ettirmektedir.

Bununla birlikte, hastanın bir ay önceki düşme ve L4 seviyesindeki kırık olmadan önceki dönemi nisbeten sorunsuzdur. Dolayısıyla sistemin alt ucundaki gevşemenin asemptomatik olduğu ve tedavi gerektirmediği düşünülerek sadece L4 kırığı ve buna bağlı kanal daralmasının tedavi edilmesine karar verilmiştir. Bu kararda yapılan BT incelemesinde gevşeme olan L2-3 seviyesinde fasetlerin kısmi füzyonlu ve stabil oluşu ve L2-3 diski içinde gaz görülmeyişi etkili olmuştur. Aynı şekilde, L3-4 diski de oldukça iyi korunmuştur. Bu faktörler, L4 vertebrasını stabilize etmenin yeterli olacağını düşündürtmüş ve vertebroplastiye karar verilmiştir.

Hastadaki ikinci zorluk L4 seviyesindeki kırığın kanalı daraltması ve hastada bel ağrısı yanında sol bacak ağrısı oluşudur. Eğer bu darlık nörolojik bir defisit yaratsaydı kanalın dekompresyonu amacıyla bir ameliyat gerekli olacaktı. Ancak sadece ağrı bulunuşu nedeniyle sorunun, kanalın akut daralması nedeniyle geçici bir kök travması ve bunu izleyen ödemden ibaret olabileceği ve eğer radiküler ağrı kontrolü sağlanır ve vertebroplastiyle de vertebra stabil hale getirilirse uzun dönemde kanal daralmasına ait semptom kalmayabileceğini düşündürtmüştür. Bu nedenle vertebroplasti sırasında transforaminal epidural enjeksiyon da uygulanmıştır.

Bacak ağrısının belirgin şekilde azalması ve geri dönmemesi bu teorinin doğru olduğu lehinedir. Tabi ki, bu düşünce yanlış çıkabilir ve hastadaki bacak ağrısı sebat edebilirdi. Bu durumda ikinci basamak olarak planlanan, minimal invazif bir dekompresyonla bası altındaki kökün dekomprese edilmesiydi.

Uygulanan tedavinin alternatifi disfonksiyone enstruman sisteminin alt ucunun revizyonu ile birlikte enstruman sistemini bir alt seviyeye (L5) uzatıp aynı seansta laminektomiyle kanal dekompresyonunu sağlamaktır. Genel anestezi gerektirecek böyle bir ameliyatın kendisine ait sorunlar ve gelecekte riskler getirebileceği aşikardır.

Yapılan tedavi, sıklıkla uyguladığımız basamaklı minimal invazif girişim felsefesine bir örnektir. Bu felsefenin temel taşları, klinik soruna yol açan asıl sorunu saptayarak mümkün olan en küçük ve en az riskli girişimle (mümkünse de hiç bir girişim yapmadan) klinik tabloyu düzeltmek, eğer uygulanan girişim yeterli gelmezse bir sonraki en az invazif girişimi ekleyerek hastayı takip etmek ve en invazif ve riskli girişimleri daima en sona saklamak şeklindedir.