Klippel-Feil Sendromunda Servikal Myelopati

← Örnek Hastalar sayfasına dön

Tarih: Ağustos 2011

31 yaşında kadın hasta son 1 yıldır artan boyun ağrısı, vücudunda sertlik ve katılık yakınmalarıyla başvurdu. Nörolojik muayenesinde derin tendon reflekslerinin artmış olduğu ve taban derisi refleksinin ekstansör olduğu saptandı. Hastanın direkt grafileri ve Manyetik Rezonans Görüntülemesinde servikal vertebralarda çok seviyeli konjenital füzyon, C3-C4 seviyesinde instabilite bulguları, omurilik basısı ve bu seviyede omurilikte sinyal değişikliği görülüyordu.

Klippel-Feil Sendromu Fleksiyon Ekstansiyon Grafisi

Resim 1: Fleksiyon/ekstansiyon grafilerinde C2-C3 ve C4-C5-C6 vertebralarının füzyonu görülmektedir. Füze olmamış C3-C4 mesafesinde fleksiyon/ekstansiyon grafilerinde kayma, C6-C7 mesafesinde ise belirgin açılanma görülmekte, ancak kayma bulunmamaktadır.

Klippel-Feil Sendromu Servikal MRG

Resim 2: Servikal MRG'de C3-C4 mesafesinde omuriliğe önden ve arkadan bası ve bu seviyede omurilikte sinyal değişikliği görülmektedir.

Aşikar myelopati bulguları ve C3-C4 seviyesindeki instabilite nedeniyle bu seviyede dekompresyon ve stabilizasyon planladı.

Ameliyat

Hastaya posterior yaklaşımla C3-C4 interlaminar dekompresyon (C3 vertebrasının alt, C4 vertebrasının üst yarısıyla beraber bası yapan ligamentum flavumun rezeksiyonu) ve posterior vida-rod sistemiyle stabilizasyon yapıldı. C3-C4 faseti laminektomi alanından alınan otojen kemikle greftlenerek füzyon hedeflendi. C2 seviyesinde intralaminar, C5-C6 seviyelerinde lateral kitle vidaları kullanıldı.

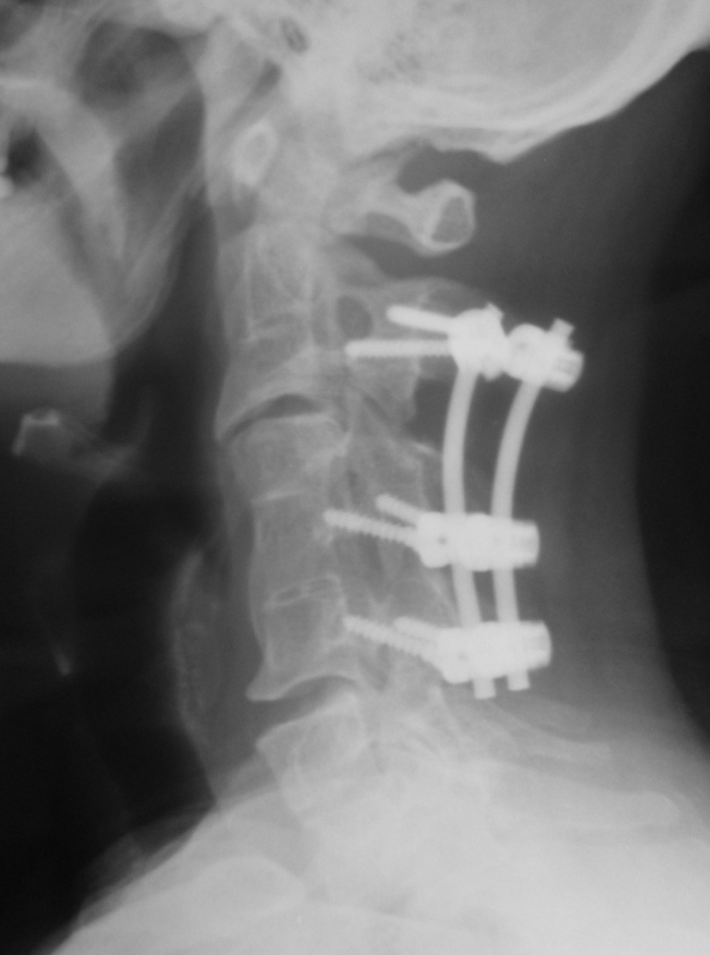
Klippel-Feil PostOp AP Grafisi Klippel-Feil PostOp Lateral Grafi Klippel-Feil Postop BT C2 Seviyesi

Resim 3: Postop direkt grafilerde C2-C6 seviyesindeki stabilizasyon sistemi görülmektedir. C2 seviyesinde intralaminar (en sağdaki resim), C5-C6 seviyelerinde lateral kitle vidaları kullanılmıştır.

Takip

Postoperatuvar dönemde komplikasyon gelişmedi. Hasta erken dönemde yakınmalarında azalma tanımlıyordu. 3. ay nörolojik muayenesinde myelopati bulgularında belirgin düzelme mevcuttu. Hasta postop birinci yılındadır ve halen takibimiz altındadır.

Yorum

Klippel-Feil sendromu servikal (ve bazen diğer omurga bölgelerinde) vertebraların konjenital füzyonudur. Bazen bu bulgulara kısa boyun ve düşük saç çizgisi de eşlik eder. Füzyona giden seviyelerin hareket yükü füzyona uğramamış disk seviyelerine bindiğinden bu seviyelerde erken ve hızlanmış dejeneratif değişiklikler ve olgumuzda da görüldüğü gibi instabilite ve omurilik basısı görülebilir. Bu olguda anterior ya da posterior tekniklerle dekompresyon ve stabilizasyon sağlanabilirdi. Düşük komplikasyon riski ve komplikasyonlarının selim doğası nedeniyle olgumuzda posterior girişimi tercih ettik. C6-C7 seviyesi (füzyona gidemeyen tek subaksiyel disk mesafesi) potansiyel olarak instabilite adayıdır ve bu yüzden uzun dönem, hatta hayat boyu takip gereklidir.