Lomber Disk Hernisine Bağlı Bel ve Bacak Ağrısında Transforaminal Epidural Enjeksiyon

← Örnek Hastalar sayfasına dön

Tarih: Kasım 2022

45 yaşındaki erkek hasta bel ortası, kalça ve kasıklarına vuran ağrıyla başvurdu. Eskiden beri bulunan ağrılarının son altı aydır arttığını ifade etmekteydi.

Hastanın nörolojik muayenesinde kas gücü kaybı yoktu. Refleksleri normaldi. Sağda S1 dermatomunda hipoestezi saptandı. Lokal olarak sakrum üst kısmında ve sağda Valleix noktalarında (kalça, uyluk ve baldır arka yüzünde orta noktaları) basmakla hassasiyet bulundu. Yapılmış olan lomber MRG incelemesi aşağıdadır.

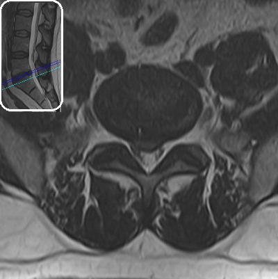
Lomber MRG İncelemesi - L5-S1 Bulging Lomber MRG İncelemesi - Dejeneratif Disk Hastalığı

Resim 1: Lomber MRG incelemesinde L5-S1 seviyesinde santral bir bulging görülmektedir. Sağ S1 köküne dokunacak şekilde anulus fibrozusta küçük bir açıklık ve ufak bir ekstrüde fragman varlığından şüphe edilebilse bile, kesin söylenemez. Aynı seviyede disk içi hipointens ve komşu L5 vertebrası alt endplate'i ön kısmında dejeneratif sinyal değişikliği görülmektedir (dejeneratif disk hastalığı). Lomber lordoz korunmuştur. Diğer disk seviyeleri, faset eklemler ve paravertebral kaslarda belirgin bir sorun saptanmamıştır.

L5-S1 seviyesindeki dejerasyonun yoğunluğu, belirgin bulging, S1 kökü bası ya da irritasyonunu düşündüren bulgular (S1 dermatomu hipoestezisi ve Vallleix noktalarındaki hassasiyet) ve lokal ağrı nedeniyle hastanın yakınmaları bu seviyeye atfedildi. Hastanın yakınmaları arasında bulunan kasık ağrısı L3-S1 arası lomber sorunlarda tipik olarak görülen bir bulgu değildir. Kalça eklemi ve sakroiliak eklem sorunlarından da şüphe etmek gerekir. Ancak hastanın muayenesi bu açılardan normal bulunmuştur. Klinik tecrübemiz, L5-S1 disk patolojilerinde kasık ağrısının olabileceğini söylediğinden, bu yönde ek bir tetkik planlanmadı ve L5-S1 diskopatiye yönelik tedavi planlandı.

Tedavi

Uzun süredir bulunan ve 6 aydır devam eden ağrılar nedeniyle ilaç tedavisi ya da fizik ajanlarla devam etmek yerine girişimsel bir tedavi düşünüldü. Büyük bir disk hernisi bulunmadığından ve S1 dermatom hipoestezisi dışında nörolojik bir bulgu da olmadığından bu aşamada diskektomi endikasyonu konulmadı. Hasta tedavi olasılıkları konusunda bilgilendirildi ve ortak olarak epidural enjeksiyon kararı alındı. Hastaya sağdan transforaminal epidural enjeksiyon uygulandı. Aşağıda işlem sırasında alınan röntgen görüntüleri ve yapılan işlemin ayrıntıları bulunmaktadır.

Transforaminal Epidural Enjeksiyon Uygulaması

Resim 2: Sağ L5-S1 forameni ve S1 foramenleri yoluyla epidural enjeksiyon uygulanması.

Enjeksiyon ameliyathanede, hasta yüzüstü pozisyonda karın altı desteklenerek, skopi altında ve kontrast madde kontrolü ile (300 mg/ml Ultravist), 20G kalınlığında ve 9 cm uzunlugunda spinal iğneler kullanılarak steril teknikle uygulandı. Toplam 20-30 ml hacminde olmak üzere %1 adrenalinsiz Lidokain + serum fizyolojik + ½ ampul depo steroid verildi. L5-S1 seviyesinde infranöral teknik kullanılmıştır. Sağdaki resimde her iki foramenden de epidural alana uygun kontrast geçişi görülmekte. Daha iyi ağrı kontrolü amacıyla aynı seansta sağda L2-S1 medial dal blokları da yapıldı.

Sonuç

İşlem sırasında veya sonrasında bir komplikasyon izlenmedi. Hasta işlemden bir saat sonra yürütüldü ve sorunsuz olarak taburcu edildi. Üç hafta sonra yapılan kontrol muayenedinde hasta ağrılarının %80 oranında azaldığını, işlem sonrasındaki ilk haftadan sonra ağrı kesici kullanmadığını, mevcut ağrısının uykusunu ve gün içinde günlük aktivitelerini aksatmadığı ifade ediyordu.

Bu aşamada başka bir tedavi düşünülmedi ve hasta şikayetlerinin artması halinde tekrar başvurması önerisiyle takibe alındı. Kilo almaması ve karın ve bel kaslarını kuvvetlendirmeye yönelik egzersizler yapması önerildi. Üç aylık takipte sorun yoktur.

Yorum

Bu hastamızda tek lomber mesafeye sınırlı bir dejeneratif disk hastalığı ve anulus fibrozusun henüz tam yırtılmadığı aşamadaki (bulging) bir disk hernisi ile karşılaşılmıştır. Yapılan epidural enjeksiyon ile yeterli bir ağrı kontrolü sağlanmıştır. Belirgin bir nörolojik kayıp olmaması nedeniyle cerrahi girişim olasılığı bu aşamada arka plana itilmiştir. Gerçekten de, çoğu hastada epidural enjeksiyon enjeksiyon yüz güldürücü sonuçlar vermektedir. Ancak yapılan enjeksiyonun bir ağrı tedavisinden ibaret olduğu, mevcut dejenere diskin tamir edilemeyeceği ve anatomik bozulmanın ilerlemesiyle gelecekte de aynı seviyeden sorun yaşanabileceği unutulmamalıdır.