Lomber Enstrüman Yetmezliği ve Dinamik Stabilizasyonla Çözümü

← Örnek Hastalar sayfasına dön

Tarih: Ağustos 2022

64 yaşındaki bayan hasta şiddetli bel ağrısı, kalça ve bacaklarında ağrı, uyuşukluk, kramp ve yürüyememe yakınmalarıyla getirildi. Öyküsünde üç yıl önce bel ve bacak ağrıları yakınmalarıyla bel bölgesinden ameliyat edilerek vida takıldığı, ve bu ameliyattan sonra yakınmalarında bir miktar düzelme olduğu, ancak son bir yıldır tekrar kötüleşmeye başladığı ifade edildi. Son üç aydır da ağrılarının şiddeti nedeniyle yürümekte zorlandığı ve ancak ev içinde yardımla hareket edebildiği, istirahatte de bulunan ağrıların hareket etmekle arttığı öğrenildi.

Tekerlekli sandalyede getirilmiş olan hastanın muayenesinde genel durumu iyi, vital bulguları stabil ve fizik muayenesinde obezite dışında özellik yoktu. Özgeçmişinde akciğer sorunları tarif ediliyordu. Nörolojik muayenesi normaldi. Ağrı nedeniyle walker ile yürüyebilmekteydi. Sırt alt bölgesinden sakruma kadar uzanan ensizyon mevcuttu ve alt seviyeler basmakla ileri derecede hassastı.

Hastanın beraberinde getirdiği ve bir önceki yıla ait lomber MRG incelemesi aşağıdadır.

2021 Yılı MRG İncelemesi - Lomber Enstrüman Gevşemesi

Resim 1: Bir yıl önce yapılmış olan MRG incelemesinde T11-L5 seviyelerinin stabilize edilmiş olduğu, L2-L4 seviyelerinde laminektomi bulunduğu ve L4-5 seviyesinde kanalda darlık olduğu görüldü. Ayrıca lomber lordozun düzleşmiş olduğu dikkati çekmektedir. MRG kalitesi düşüktür.

Uzun segment (T11-L5) stabilizasyon yapılmış olan hastanın istirahatte bulunan kalça ve bacak ağrıları ve uyuşma yakınmaları spinal kanalda ya da nöral foramenlerde daralmalara bağlı nöral bası düşündürtmektedir (Bacaklardaki kramplar nörojenik kladikasyon tablosunun bir parçası olabilmekle birlikte, tipik siyatalji tablosunun bir parçası değildir, başka sebepler de aramak gerekir).

Hareketle artan bel ağrısı instabilite, alt lomberde implant üzerine basmakla uyandırılan şiddetli ağrı ise implant gevşemesi lehinedir.

Bu hastada olası tanılar komşu segment hastalığı (T11 üstü ve L5 altı seviyelerde hızlanmış dejenerasyona bağlı darlıklar ve/veya instabilite) ve implant gevşemesidir. Stabilize edilmiş L4-5 seviyesinde darlık görülmesi, buna karşın L5-S1 seviyesinin nisbeten korunmuş oluşu L4-5 seviyesinde füzyon oluşmadığı ve implant gevşemesi olabileceği yönünde fikir oluşturmaktadır.

Bu bulgular üzerine hastaya yeni MRG ve BT yaptırılmıştır.

2022 Yılı MRG İncelemesi ve Myelografi

Resim 2: Yaptırılan MRG incelemesinde median, sağ ve sol paramedian kesitler ve MR-myelografi incelemesi görülmekte. Alt seviyelerde santral stenoz yoktur, T10-T11 seviyesi ise şüphelidir. Ancak paramedian kesitlerde T9-T10, T10-T11, L4-5 ve L5-S1 seviyelerinde lateral reses ve foramen stenozları şüphesi vardır. İmplantların artefaktı ideal bir değerlendirmeyi engellemektedir.

2022 Yılı BT İncelemesi - Vida Gevşemesi

Resim 3: BT incelemesinde T10-T11 ve L4-L5 diskleri içinde ve ayrıca kanal içinde L4 korpusu arkasında gaz ile uyumlu hipodansite, L4 ve L5 vidalarında iki yanlı gevşeme ve foraminal stenozlar görülüyor. Ayrıca L3-4 ve L4-5 seviyelerinde faset füzyonlarının tam oluşmadığı görülmekte. Diğer vidalarda gevşeme ya da malpozisyon yoktur.

Bu incelemeri takiben sorunlu ve semptomatik seviyelerin saptanması amacıyla seviyelerin ayrıntılı analizi yapıldı.

T10-T11 seviyesi

T10-T11 Sağ Taraf Değerlendirmesi T10-T11 Sol Taraf Değerlendirmesi

Resim 4: MRG ve BT incelemeleri bir araya getirildiğinde enstruman sisteminin kranial ucunda (T10-T11 seviyesi) hızlanmış komşu segment dejenerasyonu görülmekte. Ligamentum flavum kalınlaşmasına bağlı olarak spinal kanal ılımlı derecede daralmış, artmış hareket genliği nedeniyle dejenere olan intervertebral disk ve faset eklemler içinde gaz gölgeleri oluşmuştur. Azalmış lomber lordoz nedeniyle sagittal planda dengeyi koruyabilmek için torasik kifoz düzleşerek torasik veretebraları retrolistezise zorlamış ve bunun sonucunda superior artiküler çıkıntılar intervertebral foramenleri daraltmıştır. Aynı bulgular daha hafif olarak T9-T10 seviyesinde de vardır.

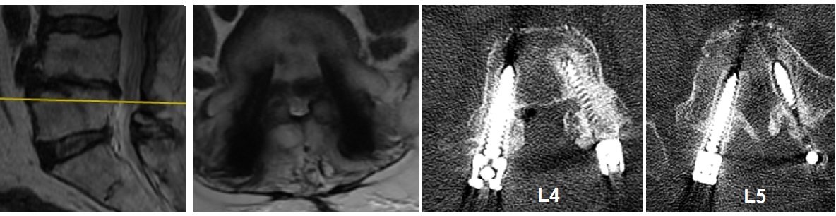
L4-L5 seviyesi

L4-L5 MRG Kesitleri L4-L5 Sağ Taraf L4-L5 Sol Taraf

Resim 5: L4-5 seviyesindeki santral (en üst sıra), sağ foraminal (orta sıra) ve sol foraminal (alt sıra) görüntülerde iki yanlı olarak kanal içinde lateral reseslerin, solda daha belirgin olarak iki yanlı L4-5 foramenlerinin daraldığı görülmekte.

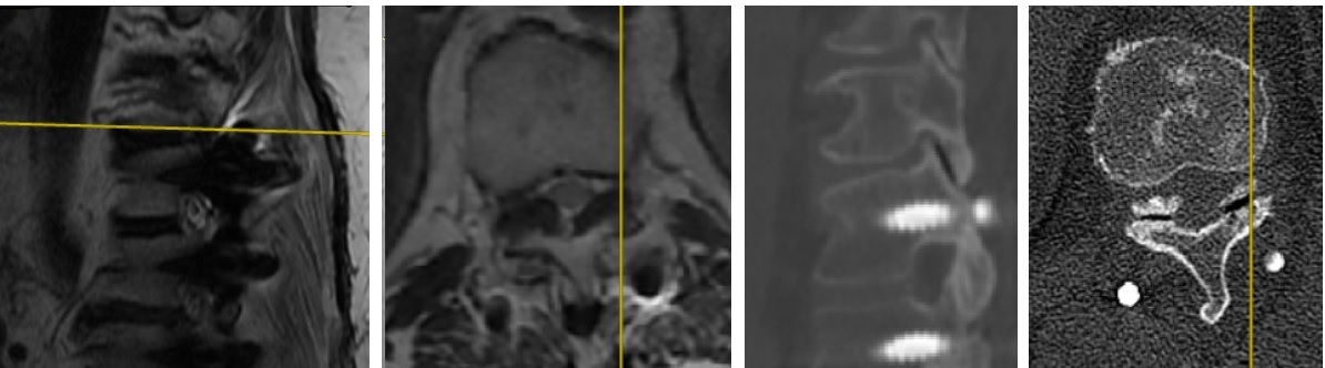
L5-S1 seviyesi

L5-S1 MRG Değerlendirmesi

Resim 6: L5-S1 seviyesi nisbeten daha iyi korunmuştur ve lateral resesler açıktır. Ancak solda gevşeyen L5 vidasının L5 pedikülünün alt duvarını erode ederek forameni daralttığı görülmekte (L4-5 resimleri alt sıra). L5-S1 sağ nöral foramen normaldir (L4-5 resimleri orta sıra).

Sonuç olarak hastada üst uçta (T10-T11) komşu segment dejenerasyonu, alt uçta L4 ve L5 vidalarında gevşeme, L4-5 seviyesinde iki yanlı lateral reses ve foramen stenozu, L5-S1 seviyesinde solda gevşeyen L5 vidasına bağlı olarak foramen stenozu saptandı.

Hastada revizyon dekompresyon ve stabilizasyon ameliyatı yapılmasına karar verildi.

AMELİYAT

Postop AP Radyolojik Görüntü Postop Lateral Radyolojik Görüntü

Resim 7: Ameliyat sonrası (postop) direkt grafiler. PEEK rod ile dinamik stabilizasyon uygulanmıştır.

Ameliyatta eski ensizyon açılarak titanyum rodlar çıkartıldı. L4-5 seviyesi açılarak kanal içi ve foramen çıkışları dekomprese edildi. Disk içi boşaltılarak otojen kemik greft ile dolduruldu. Gevşemiş L4 ve L5 vidaları çıkartıldı. L4 vidaları kalın vidalarla değiştirildi, L5 seviyesine vida konmadı. S1 ve S2 seviyelerine vida kondu (S1 medial ve kaudal yönelimli, S2 vidaları laterale ve kraniuma yönelimli). L2 vidalarından S2 vidalarına uzanan birer PEEK rod ile sistem stabilize edildi.

Postoperatuvar olarak solunum zorluğu izlendi ve bir gün zarfında düzeldi. Ertesi gün mobilize olan hastada ağrı yakınmalarında belirgin azalma mevcuttu. Üçüncü gün taburcu edilen hasta postoperatuvar beşinci gün yarada seröz akıntı şikayetiyle geri geldi ve basit sütürasyon ile akıntı kesildi ve başka bir yara sorunu izlenmedi.

Hasta kısa dönem takipte mobilize ve iyi durumdadır.

SONUÇ ve YORUM

Hastada asıl sorun olarak L4-5 seviyesinde füzyon oluşmaması ve bu nedenle devam eden hareket sonucunda implant gevşemesi ve nöral bası görülmüştür. L4-5 dekomprese edilmiş ve intebody füzyon amaçlanarak mesafe kemik greft doldurulmuştur. Vida hareketleri nedeniyle ileri derecede genişlemiş ve bozulmuş L5 pedikülüne vida konulamamış ve bu nedenle sakruma inilmiştir. Bunun alternatifi L5 korpusuna kemik sementi doldurarak L5 pediküllerine vida koymak olabilirdi. Ancak solda L5 pedikülünün alt duvarının erode olması ve foramen stenozu bulunması nedeniyle bu yöntem güvenli görülmemiştir. Sistem PEEK rod ile stabilize edilerek kısmi harekete izin veren dinamik bir stabilizasyon kurulmuştur. Bu sistemin nisbeten korunmuş L5-S1 disk seviyesiyle uyum içinde çalışarak rijid stabilizasyona oranla daha fizyolojik bir stabilizasyon sağlayacağı düşünülmekte, L4-5 disk seviyesinin yük aldığından hedeflendiği gibi füzyona gideceği, L5-S1 diskinin ise hareketinin kısmen korunacağı düşünülmüştür. Dinamik sistemler sürekli yük alcağından vida gevşemesi riski vardır. Bu risk sakruma 4 vida koyarak azaltılmaya çalışılmıştır. Bunun alternatifi sistemin iliak vidalarla desteklenmesi olabilirdi. Takiplerde sakrum vidalarında gevşeme olması olasılık dahilindedir. Bu takdirde, L4-5 seviyesinde füzyon tamamlandıktan sonra sakrum vidaları çıkartılabilir ve L5-S1 disk seviyesi tekrar mobil hale getirilebilir.

L3-4 seviyesinde faset füzyonunun tamamlanmadığı izlendiğinden mevcut sisteme güç katmak için PEEK rod L2 seviyesine bağlanmış, torakolomber bileşkeye ek stress getirmemesi için T11-L1 arası vidalar boş bırakılmıştır. Bu vidaların çıkartılmamasının nedeni roda bağlı olmadıklarından omurgaya ek stress getirmemeleri, öte yandan takipte beklemedik bir sorun olursa ihtiyaç halinde gelecekte kullanılabilme olasılığı sunmalarıdır.

Hastamızda sistemin kranial ucunda da komşu segment hastalığı olsa da buraya müdahale edilmemiştir. Çünkü buradaki kanal ve foramen daralmasına ait objektif nöral bası semptomları yoktur. Yine de, buradaki stresin torakolomber bileşkeyi etkileyerek semptom yaratabilme olasılığı vardır (=Torakolomber bileşke sendromu, =Maigne sendromu). Bu sendromda ağrı cluneal sinirler yoluyla iliak kıyılara vurarak alt lomber semptomları taklit edebilir. Takipte böyle bir durum oluştuğu düşünülürse ek girişim gerekli olabilir.

Özetle hastamız, lomber lordoz restore edilmeden yapılan uzun segment lomber stabilizasyonu takiben görülebilecek sorunlara (komşu segment dejenerasyonları ve konstrukt yetmezliği) bir örnek teşkil etmektedir ve mevcut semptomatolojinin nedenlerine yönelik en az invazif çözümlerle ve dinamik stabilizayonla tedavi edilmeye çalışılmıştır. Bunun alternatifi ise global sagittal dengeyi sağlamaya yönelik olarak pelvik parametrelerin ölçümünü takiben gerekli dekompresyonları ve lordoz sağlamaya yönelik osteotomileri yapmak ve sistemi daha yukarı (alt torakal) ve daha aşağı (muhtemelen pelvis) uzatan bir füzyon sistemi kurmaktır. Kanaatimiz, bu hastada uygulandığı gibi minimal invazif yaklaşımların ve füzyonsuz stabilizasyonların daha düşük komplikasyon oranlarıyla hastaların yaşam kalitesine daha fazla katkı sağladığı yönündedir.