Os Odontoideum

← Örnek Hastalar sayfasına dön

Tarih: Eylül 2011

56 yaşında kadın hasta, uzun yıllardır bulunan boyun üst kısmında ağrı ve zaman zaman kollarına vuran elektriklenme ve uyuşma hissi yakınmalarıyla başvurdu. Nörolojik muayenesinde derin tendon reflekslerinin canlı olması dışında patolojik bulgu saptanmadı. Hastanın 12 yıl önce sağ kol ağrısı nedeniyle incelendiği ve C6-C7 disk hernisi tanısıyla ameliyat edilerek anterior diskektomi ve füzyon uygulandığı saptandı.

O tarihe ait manyetik rezonans görüntülemesinde (MRG) C6-C7 seviyesindeki disk hernisinden başka, densin ayrı bir kemik halinde ayrıştığı görülmekteydi (= os odontoideum). Hastanın ameliyattan sonra kol ağrısının geçtiği, eskiden beri bulunan boyun ağrısının ise devam ettiği, kendisinin C2 vertebrasındaki bu patolojik durumdan haberdar olmadığı saptandı.

1999 Tarihli Servikal MRG - Os Odontoideum

Resim 1: 1999 tarihli (12 yıl önce çekilmiş) servikal MRG'de C6-C7 mesafesinde disk hernisi olduğu, aynı zamanda densin C2 gövdesinden koparak ayrı bir kemik haline geldiği (= os odontoideum) görülmektedir.

Hastaya servikal MRG, BT ve fleksiyon / ekstansiyon postürlerinde direkt grafi incelemeleri yapıldı. Bu incelemelerde dens'in C2 gövdesinden ayrışarak sklerotik kenarlara sahip ayrı bir kemik parçası haline gelerek (=os odontoideum) kranial ve hafifçe posterior yönde deplase olduğu görülüyordu. C1 (atlas) ön arkusu hafifçe geriye kayarak densin bulunması gereken lokalizasyona gelmişti. BT incelemelerinde os odontoideum'un atlas ön arkusuna kaynamış olduğu, fonksiyonel grafilerde ise atlasın hafifçe geriye kaydığı görülüyordu.

Güncel Servikal MRG - Os Odontoideum ve C1 Kayması

Resim 2: T2 ağırlıklı servikal MRG'de dens'in C2 gövdesinden ayrışarak kranial ve hafifçe posterior yönde deplase olduğu, C1 (atlas) ön arkusunun ise hafifçe geriye kayarak densin bulunması gereken lokalizasyona geldiği görülmektedir. C6 ve C7 vertebra gövdeleri füzyonlu, C5-C6 diskinde ise bulging mevcuttur.

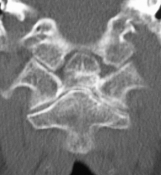
Koronal BT Kesiti - Os Odontoideum Aksiyal BT Kesiti - Atlas Füzyonu

Resim 3: Koronal BT kesidinde (sol) densin sklerotik kenarlarla ayrı bir kemik haline gelerek (=os odontoideum) C2 gövdesinden ayrışmış olduğu görülmektedir. Aksiyal BT kesidinde (sağ) os odontoideum'un atlas ön arkusuna kaynamış olduğu görülmektedir.

Fonksiyonel Servikal Grafi - İnstabilite

Resim 4: Fleksiyon / ekstansiyon grafilerinde atlasın ekstansiyonda hafifçe geriye kaydığı görülmektedir (=atlanto-aksiyal instabilite). Ayrıca, fleksiyon grafisinde C3-C4 ve C4-C5 mesafelerinde hafif kaymalar mevcuttur.

Uzun yıllardır bulunan ve konservatif tedavilere yanıtsız üst boyun ağrıları ve aralıklı olarak kollarda uyuşma ve elektriklenme şeklinde semptomlar, radyolojik olarak saptanan atlanto-aksiyal instabilite bulguları ile uyumluydu. Bu bilgi ve bulgular hasta ile paylaşıldı ve bir fiksasyon ameliyatının yarar ve riskleri karşılıklı tartışıldı. Atlanto-aksiyal fiksasyon kararı alındı.

Ameliyat

Hastaya posterior yaklaşımla C1-C2 segmental fiksasyon (Goel-Harms tekniği) uygulandı. İki yanlı C1 lateral kitle vidaları ve C2 intralaminar vidalar kullanıldı. İliak kemikten alınan otojen greftler C1-C2 interlaminar alana serilerek füzyon hedeflendi.

Postop Lateral Grafi - C1-C2 Fiksasyonu C1 Lateral Kitle Vidaları BT C2 Intralaminar Vidalar BT

Resim 5: Postop direkt grafi ve BT incelemelerinde C1-C2 seviyesindeki stabilizasyon sistemi görülmektedir. C1 seviyesinde lateral kitle vidaları (orta resim), C2 seviyesinde ise pediküller vida uygulaması için uygun olmadığından (yüksek seyirli vertebral arter) intralaminar vidalar kullanılmıştır (en sağdaki resim).

Takip

Ameliyat sırasında ya da sonrasında komplikasyon gelişmedi. Hasta erken dönemden itibaren, kollarındaki uyuşma ve elektriklenme yakınmasının düzeldiğini ifade etti. Boyun ağrısı ise azalmakla birlikte devam etmekteydi. Hasta postoperatuvar 9. aydadır ve gerek enstrumantasyon sistemi ve füzyon, gerekse C3-C5 arasındaki minimal dejeneratif listezisler açısından takibimiz altındadır.

Yorum

Os odontoideum tablosu 1. ve 6. dekad arası her yaşta bildirilmiştir. Bu hastalarda atlanto-aksiyal instabilite sıktır. Semptomatik olan ve radyolojik olarak dokümante atlanto-aksiyal instabilite saptanan olgularda cerrahi gereklidir. C1-C2 posterior segmental fiksasyon (Goel-Harms tekniği) bu olgularda etkili bir yöntemdir.